Содержание
Нейтрофилы являются защитниками организма. Их еще называют гранулоциты или нейтрофильные гранулоциты. Ценой своей жизни они не дают распространяться инфекции и бактериям, попавшим в организм. Их количество определяют по общему анализу крови. Нейтрофилы могут быть повышены при заражении организма бактериями или грибками. О чем же говорит изменение показателей и почему нужно уделять этому особое внимание? Рассмотрим подробнее, что представляют собой нейтрофилы в данной статье.
Нейтрофилы и их роль
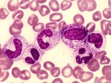
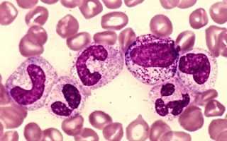
Нейтрофилы являются одной из разновидностей лейкоцитов. Они образуются в красном костном мозге. При проведении химических реакций при помощи различных красителей эти элементы меняли свой окрас, поэтому и получили название нейтрофилы. Подобная разновидность составляет большую часть состава крови человека. По мнению исследователей, оставшуюся часть составляют юные клетки, не имеющие ядра.
Кровяные клетки имеют высокую активность, поэтому могут перемещаться в воспаленные ткани.

Механизм их действия заключается в обнаружении, поглощении бактерии или грибковой инфекции, чужеродных для организма веществ внутрь клетки. Под действием специальных ферментов они расщепляются, после чего нейтрофил погибает, выделяя в организм биологически активные вещества. Эти вещества способны влиять на течение воспалительного процесса.
Также нейтрофилы принимают непосредственное участие в процессе свертывания крови и терморегуляции тела.
Посмотрите видео на эту тему

Повышение уровня нейтрофилов в крови, известное как нейтрофилия, является важным показателем состояния организма. Врачи отмечают, что это может свидетельствовать о наличии воспалительных процессов, инфекций или даже более серьезных заболеваний, таких как рак. Важно понимать, что нейтрофилы — это ключевые клетки иммунной системы, отвечающие за борьбу с инфекциями.
Специалисты подчеркивают, что для точной диагностики необходимо учитывать не только уровень нейтрофилов, но и другие показатели крови, а также клинические симптомы. Врач может рекомендовать дополнительные исследования для выявления причины повышения. В некоторых случаях, например, при стрессах или физической нагрузке, уровень нейтрофилов может временно увеличиваться, что не всегда требует вмешательства.
Таким образом, при обнаружении повышенных нейтрофилов важно обратиться к врачу для дальнейшего обследования и определения необходимого лечения.

Какие бывают?
Ученые выделяют несколько стадий созревания нейтрофилов. В норме в крови нейтрофилы представлены в двух разновидностях. Еще два вида выявляют при обследовании тяжелых заболеваний.
Процентное соотношение этих разновидностей называют сдвиг лейкоцитарной формулы.

- Миелобласты;
- Промиелоциты;
- Миелоцит;
- Юные нейтрофилы;
- Палочкоядерные нейтрофилы;
- Сегментоядерные нейтрофилы.
Для диагностических целей большое значение имеют последние формы. Палочкоядерные являются недоразвитыми формами клеток. В случае тревоги в кровь выбрасываются именно эта разновидность. Поэтому когда палочкоядерные нейтрофилы повышены или, наоборот, понижены необходимо срочно обратиться к лечащему врачу. Сегментоядерные нейтрофилы являются основными защитниками организма и имеют больший процент содержания в крови.
Каким анализом вычисляются?

Также выделяют относительный и абсолютный нейтрофилез. В первом случае отмечают увеличение содержания в процентах, во втором – увеличение абсолютного количества клеток. Есть понятие относительная или абсолютная нейтропения при котором определяют пониженные показатели количества нейтрофилов.
В организме также может происходить нарушение баланса лейкоцитов без изменения общего количества. Это значит, что, например, лимфоциты могут быть повышены, а нейтрофилы наоборот понижены.
Повышенные лимфоциты в крови могут возникать при вирусных инфекциях.
Повышение уровня нейтрофилов в крови — это тема, которая вызывает много обсуждений среди людей, особенно тех, кто сталкивается с проблемами здоровья. Многие отмечают, что высокий уровень нейтрофилов может свидетельствовать о наличии воспалительных процессов или инфекций в организме. Люди делятся своим опытом, как им удавалось нормализовать показатели: кто-то упоминает о необходимости изменить рацион, добавив больше овощей и фруктов, а кто-то советует обратить внимание на режим сна и физическую активность.
Некоторые также подчеркивают важность регулярных медицинских обследований, чтобы вовремя выявить возможные проблемы. В интернете можно найти множество рекомендаций по снижению уровня нейтрофилов, включая использование трав и добавок, однако важно помнить, что самолечение может быть опасным. Поэтому многие советуют обращаться к специалистам для получения индивидуальных рекомендаций. В целом, обсуждение этой темы помогает людям лучше понимать свое здоровье и принимать более осознанные решения.

Что может повлиять на результаты анализов?
Чтобы получить максимально точные данные, нужно учитывать несколько требований.
- После еды в крови могут быть нейтрофилы повышены, это говорит о том, что анализ нужно сдавать на голодный желудок. Разрешено только пить чистую негазированную воду.
- Психоэмоциональные, физические нагрузки и стресс могут повлиять на результаты анализа.
- Также анализ крови может быть неточным в результате перепада температур. Например, если зайти в кабинет сразу после пребывания на холоде.
- Повышенные нейтрофилы также определяются в крови при беременности.
Какие значения считать повышенными?
Норма нейтрофилов для женщин и мужчин одинакова, но может отличаться в зависимости от возраста пациента. Если нейтрофилы повышены у взрослого, то показатель больше 6,5×109/л. В процентном соотношении они более 70. В детском возрасте (до года) норма составляет 1,8-8,55×109/л (30,1-50,1%). У малышей 1-6 лет 2,21-6,21×109/л (35-55%). С 6 до 12 лет уровень составляет 2,21-6,57×109/л (40,1-60,3%).
Во время беременности повышение уровня нейтрофилов считается нормальным. Иммунная система будущей матери воспринимает ребенка как чужеродный объект, поэтому усиливается выработка лейкоцитов в крови. По мере развития маленького организма в кровь матери поступает больше токсинов, чтобы их обезвредить увеличивается и содержание нейтрофилов. Именно подобное состояние является причиной повышения палочкоядерных нейтрофилов. В данный период особенно важно контролировать их количество, так как повышается риск возникновения выкидыша.
У пожилых пациентов в норме содержится 4,1-9,1×109/л (47-73%). Превышение этих показателей говорит о срочном обращении к специалисту.
Причины повышения
Возникновение нейтрофилеза является особой формой защиты организма от болезнетворных бактерий и вирусов, распространения воспалительного процесса. Для точной диагностики заболеваний специалисты выделили три степени превышения нейтрофилов у человека.
- Показатель не более 10×109/л говорит об умеренном повышении и наличии воспалительного процесса в организме.
- Уровень 10-20×109/л свидетельствует о выраженном превышении и наличии в организме обширного воспаления.
- Тяжелая степень считается при показателях 20-60×109/л. Подобное явление требует срочного оперативного вмешательства, так как возможно развитие перитонита или сепсиса.
Самыми распространенными причинами, когда определяют повышенные нейтрофилы в крови, являются физиологические и патологические.
Множество заболеваний человека сопровождаются повышением уровня нейтрофилов. Обследование крови не выявит точную причину, но значительно облегчит диагностику. К патологическим причинам относят:
- Инфекции различных органов и систем (фурункулы, рожа, ринит, бронхит, дизентерия, тонзиллит, сальмонеллез, пиелонефрит, пневмония, цистит, менингит, энцефалит). При диагностике подобных заболеваний обязательно учитывают жалобы больного и сопутствующие симптомы, такие как повышение температуры тела, быстрое появление симптомов, болевой синдром, снижение иммунитета.
- Травмы (порезы, раны, растяжения, переломы, ожоги, последствия оперативных вмешательств).
- Вакцины. Повышение палочкоядерных нейтрофилов возможно после любой прививки. У детей подобное явление возникает после АКДС, БЦЖ, от полиомиелита, прививки против ротавируса и ветрянки.
- Отравления. Причиной могут быть отравления солями тяжелых металлов, ядами змей и насекомых, а также при вдыхании ядовитых газов. При подобной интоксикации важно вовремя обратиться за помощью, так как возможно развитие печеночной, почечной недостаточности и других серьезных осложнений.
- Патологии внутренних органов (инфаркт, мочекаменная болезнь, инсульт, холангит, холецистит). При опросе пациентов, выявляли хронические патологии, которые привели к подобному состоянию, они ощущали нестерпимую и постоянную боль, а также наблюдалось резкое ухудшение самочувствия. Обычно при подобных патологиях повышаются нейтрофилы и определяют низкие лимфоциты.
- Онкологические заболевания крови (лейкоз, миелолейкоз, лимфогранулематоз). Больные при этом страдают длительной лихорадкой и кровоточивостью десен, носовым и желудочным кровотечением. При данных патологиях нейтрофилы палочкоядерные повышены.
Физиологические причины не связаны с каким-либо заболеванием.
Повышение гранулоциртарного уровня может наблюдаться в следующих случаях:
- Потребление пищи. Вместе с ней в организм попадают микробы и бактерии, которые он должен обезвредить. Поэтому после еды наблюдается повышение сегментоядерных нейтрофилов или палочкоядерных.
- Курение. В состав сигарет входит большое количество веществ, токсинов и ядов, которые вызывают развитие воспалительных процессов. Чтобы их обезвредить увеличивается количество нейтрофилов.
- Лечение лекарственными препаратами. Многие принимают иммуномодуляторы в качестве профилактики и лечения, проходят вакцинацию. Именно эти компоненты влияют на количество гранулоцитов.
- Алкоголь. Этанол повреждает внутренние органы и может стать причиной развития воспалительного процесса.
- Интенсивные физические упражнения.
- Стресс и эмоциональные нагрузки.
Симптомы и признаки
Выраженность симптомов зависит от причины изменений в показателях крови. У пациентов наблюдают:
- слабость;
- повышение температуры тела;
- головную боль;
- болевые ощущения различной локализации;
- усиление потоотделения;
- спутанность и потерю сознания;
- ухудшение общего состояния;
- резкое ухудшение здоровья, которое требует постоянной посторонней помощи;
- постоянная сонливость;
- уменьшение массы тела;
- кровотечения в ЖКТ;
- синяки на кожном покрове.
Опасности и последствия
Если повышены нейтрофилы, то это повод обратиться к специалисту. При отсутствии видимых симптомов и признаков врач может заподозрить нарушение правил сдачи анализа. При надлежащей подготовке пациенту требуется дополнительная диагностика, так как это свидетельствует о наличии воспаления.
Если вовремя не выявить у человека патологический процесс, то это может ухудшить общее состояние организма и привести к заражению. Неправильно диагностированные и нелеченные заболевания могут перейти в хроническую форму, а в некоторых случаях привести к смерти больного.
Большую опасность представляют случаи, когда понижены нейтрофилы или повышены лимфоциты.
Это является признаком наличия онкологических, вирусных и инфекционных патологий.
Лечение
Какие медикаменты могут назначить?
Назначение анализов и дальнейшее обследование пациентов должен проводить только врач. После постановки диагноза назначается комплексная терапия, направленная на устранение основной причины. При инфекционных, вирусных и грибковых заболеваниях назначают:



При психоэмоциональных нагрузках:



При авитаминозе:


При отравлении:


Диета
Не существует конкретной диеты, которая нормализует показатели. Когда лимфоциты повышены у взрослого или ребенка, нейтрофилы повышены или понижены, следует придерживаться общих правил правильного и рационального питания. Важно принимать пищу небольшими порциями несколько раз в день. Исключить жирные, копченые, жареные и острые блюда, газированные напитки. Лучше уделить внимание приготовлению продуктов на пару. Важно, чтобы в рационе присутствовало большое количество фруктов, овощей, морепродуктов, натуральных соков.
Большое значение имеет питьевой режим.
Достаточное потребление чистой, негазированной воды способствует поддержанию всех процессов, происходящих в организме.
Народные методы
Из средств народной медицины при состояниях, когда повышены нейтрофилы или понижены лимфоциты, наиболее эффективен настой липового цвета. Сырье заливают стаканом кипятка, настаивают и принимают в отфильтрованном виде трижды в день. Липа помогает бороться с простудой и другими заболеваниями, снижает температуру и укрепляет иммунитет.
Также применяют хвощ полевой. Он содержит в своем составе кремний, который снижает количество нейтрофилов.
Для этого используют сок свежего растения или отвар из высушенного сырья.
Профилактика
Для того, чтобы поддерживать организм в норме и избежать различных заболеваний, необходимо придерживаться некоторых правил:
- вести здоровый образ жизни без вредных привычек;
- обеспечить здоровый и полноценный сон;
- избегать стрессовых ситуаций и психоэмоциональных нагрузок;
- важно быть активным, но не перегружать организм;
- избегать переохлаждения;
- вовремя обращаться к специалистам, проходить обследования;
- больше пребывать на свежем воздухе.
Нейтрофильные гранулоциты защищают организм и помогают бороться с различными чужеродными микроорганизмами. Показатель их количества играет важную роль при диагностике патологий и позволяет избавиться от них на начальном этапе развития.
Важно помнить, что оценить результаты анализа и назначить соответствующее лечение может только врач.
Самостоятельные попытки нормализовать уровень кровяных телец может привести к необратимым последствиям.
Вопрос-ответ
Что означает повышенный уровень нейтрофилов в крови?
Повышенный уровень нейтрофилов свидетельствует об острых локализованных бактериальных инфекциях (пиелонефрите, менингите, холецистите, ангине и др.). Пониженный уровень указывает на бактериальные или вирусные инфекции, дефицит витамина B12, апластическую анемию или острый лейкоз.
Какие инфекции повышают нейтрофилы?
Нейтрофилы повышаются при бактериальных инфекциях, таких как пневмония, менингит, острые инфекции мочевыводящих путей, а также при грибковых инфекциях и некоторых вирусных заболеваниях, например, при гриппе. Кроме того, воспалительные процессы, травмы и операции также могут приводить к увеличению уровня нейтрофилов в крови.
Советы
СОВЕТ №1
Обратите внимание на свой рацион. Увеличьте потребление продуктов, богатых витаминами и минералами, таких как фрукты, овощи, орехи и цельнозерновые продукты. Особенно полезны продукты, содержащие витамин C и цинк, которые способствуют поддержанию нормального уровня нейтрофилов.
СОВЕТ №2
Регулярно занимайтесь физической активностью. Умеренные физические нагрузки, такие как прогулки, плавание или йога, могут помочь улучшить общее состояние здоровья и поддерживать нормальный уровень нейтрофилов в крови.
СОВЕТ №3
Следите за уровнем стресса. Хронический стресс может негативно влиять на иммунную систему и уровень нейтрофилов. Практикуйте методы релаксации, такие как медитация, глубокое дыхание или занятия хобби, чтобы снизить уровень стресса.
СОВЕТ №4
Регулярно проходите медицинские обследования. Если у вас есть подозрения на низкий уровень нейтрофилов, обратитесь к врачу для проведения анализов и получения рекомендаций по лечению. Не занимайтесь самолечением и следуйте указаниям специалиста.


